Tomografia Computadorizada


A tomografia computadorizada (TC) tornou-se um elemento diagnóstico indispensável em um hospital moderno, sendo que muitos centros ambulatoriais dos EUA, Canadá, Europa e Japão já contam com seus recursos.

A imagem da TC tem se tornado cada vez melhor. A velocidade de varredura (scanning) já chega a 1s em tomógrafos convencionais e a até 20ms em alguns tomógrafos ultra-rápidos.

A TC é um exame no plano axial, mas que permite a reprodução de imagens em qualquer plano. Tomógrafos mais novos, como os de napiol, permitem que sejam realizados cortes sem intervalos, o que possibilita a criação de imagens tridimensionais.

Neste exame, um feixe de raios X do calibre de um lápis gira ao redor do paciente imageando uma "fatia" do mesmo. São formados pequenos blocos de tecidos (voxels), cada um com um determinado valor de absorção conforme as características do tecido imageado. Estas imagens são reconstruídas em um plano bidimensional (pixels) na tela do computador.


Fig. 1 - Esquema de como são emitidos os feixes de RX na TC


Cada pixel é representado por um brilho, ou escala de cinza, correspondente que indica o coeficiente de atenuação linear média do tecido em questão. O coeficiente de atenuação linear média é baseado nos coeficientes da água, do ar e dos ossos, como está disposto na tabela abaixo.

Tecido

número CT (coeficiente Hounsfield)

ar

-1000

pulmão

-900 a -400

gordura

-110 a -65

água

0

rim

30

sangue normal

35 a 55

sangue coagulado

80

músculo

40 a 60

fígado

50 a 85

ossos

130 a 250

Tab. 1 - nº CT de alguns elementos identifcados na TC

Utiliza-se a água como referência por que seu número CT é similar ao dos tecidos moles e também por ser de fácil obtenção para calibrar os aparelhos.

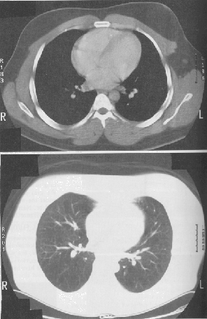
Por convenção, altos valores de CT são imageados como branco e baixos como preto. Como é impossível ao olho humano distinguir os milhares de coeficientes, utilizamos a técnica de janelas (windowing) para visualizar os valores dentro de determinada faixa. Um exemplo é a janela de mediastino na TC de tórax, na qual usa-se um CT de 500, variando entre -211 e + 289 com intervalos de 39. Os pulmões ficam bastante escuros nesta janela, uma vez que seu CT é muito menor. Para observar os pulmões é necessário mudar o CT em uma janela para que os pulmões sejam mais bem visualizados.


Fig. 1 - Diferentes nº CT avaliando uma mesma janela


A TC ainda é um bom método diagnóstico para o exame do cérebro e da medula espinhal, sendo que ainda é o procedimento de escolha para o exame do tórax e do mediastino, bem como do abdome superior e da cavidade peritoneal. É muito útil na demonstração de tumores, abscessos, ruptura de órgãos e acúmulo de líquidos com alta precisão. Também é o melhor procedimento para guiar agulhas de biópsia e para introdução de tubos de drenagem para abscessos.

(voltar para a página principal)